




<美しい歯列>を少しでも早く手に入れるための治療期間を考慮したオプションプランをご用意。当院で新たに導入した『バリオサージ3』という超音波電動メスを使用することで、治療期間の短縮化を図ります。

透明なマウスピースですので、歯列矯正をしていることが周囲の方に気が付かれにくく、ワイヤー矯正と比べると通院回数が少なくすむため、ライフスタイルに合わせた受診が可能です。

笑顔の印象をさらにアップする<肌管理>&<ホワイトニング>プランをご用意。ハイドラジェントルを使用し、皮脂汚れを洗いだします。また、高濃度薬剤によるホワイトニングも並行して受診可能

リラックスいただきながらプレミアムな治療体験となるようにエグゼクティブスマイルプランをご受診の方には『完全個室』となる特別診療ルームでの受診をご来院時に確約しております。
それぞれの治療を単独で受診いただくことも可能です。
エグゼクティブ スマイル プログラムは
こんな悩みを解決いたします

プログラム1Program 01
現代矯正はスキャン&シミュレーション&プリンティングの時代へ
3Dプリンターを活用した「インハウスアライナー」の魅力とは

当院では歯科用CTと口腔内スキャナーで取得したスキャンデータをシミュレーションソフトに連携させ、歯の移動をプランニングしたデータをさらに3Dプリンターにて造形しマウスピース型矯正装置をクリニック内で製造しております。
これにより、既存のマウスピース矯正メーカー(例:インビザライン)と比べると下記のようなメリットが患者様にご提供できます。


治療開始までの期間
最短1週間後
1ヶ月後
歯の移動の実現性
2ヶ月に一度、次の移動用のマウスピースを制作するので診療に合わせた微妙なカスタマイズが可能
移動のエラーが起きた際にマウスピースを制作しなおすが、回数の制限がある
口腔内の快適性
アタッチメントが少なく、マウスピース自体のフィット感も高い
アタッチメントという突起物を塗布する必要性がある
トラブルへの対応
紛失をしてもすぐに製造し提供可能
紛失した場合は次のステージのものを使用するので移動に誤差が生じる
ワイヤー矯正との併用
マウスピース型治療の開始の前・後関係なく、計画に組み込むことが可能
併用可能である場合、費用がかかる
治療期間短縮のためのプラスワン!
治療期間を考慮した矯正治療

歯に矯正力をかけ、骨の代謝が行われることで歯は動きます。
成人男性では、この骨の代謝サイクルが若年層に比べると遅いことや骨が硬いことに起因して歯の動きが遅く治療期間が長くなってしまうことがございます。
超音波電動メス(ピエゾサージェリー3)を使用して、骨にヒビを入れることで骨代謝を促進*し、歯を早く動かすことで治療期間を短縮化することが可能となります。
*「顔面骨」に外科的アプローチが行われると、骨の代謝が促進されることで、「RAP(Regional Acceleratory Phenomenon)」と呼ばれる現象が生体に生じます。この外科的処置を治療計画に内包することで計画自体を短くいたします。RAP現象のアドバンテージを治療に活かせるかは、術者の技量に依ってまいります。
プログラム2Program 02

イラストはイメージです。治療効果は個人差があります。
詳しい効果については症例をご覧ください。
脂溶性と水溶性の2種のピーリング成分と各種美容成分を含んだ水流で毛穴に溜まった皮脂や汚れ、古い角質を吸引しながら綺麗に洗い流すウォーターピーリング施術です。
表皮のターンオーバーの乱れを整え、角栓にアプローチし、
などの改善が期待できます。
敏感肌〜オイリー肌、ニキビ肌まで全ての肌質の方に受けていただけるお肌に優しく安全な肌ケアメニューです。
ダウンタイムが無い為、施術前後の制限もありませんので気軽に受けていただけます。1度で肌のつるつる感や毛穴の洗浄効果を実感できるので、男性にも好評をいただいております。
矯正治療でのご来院時に合わせて同日施術も可能な為、時短になります。
プログラム3Program 03
最速30分で効果を実感*
医療ホワイトニングによる本格ケア
*2~3トーンアップを実現

高濃度35%薬剤を使用!1回で白さを実感できる
医療機関でのみ取り扱われる医療ホワイトニングは、歯をしっかりと漂白し、確実に白さを実感できます。個人差はありますが、通常は2~3トーンほど白くなります。1回の施術はおよそ1時間程度です。
しみない心地良いホワイトニング
弱酸カリウム配合でしみにくく、施術中に眠ってしまう方も多数
飲食制限不要
ホワイトニング後※にカレー、コーヒー、赤ワインなど色の濃いものでも飲食OK(施術2時間後以降)
歯の質を強化
ハイドロキシアパタイトを配合 ナノアパタイトで丈夫な歯に。
紫外線を含まない光で安心
ホワイトニング専用LEDを使用。紫外線を含まず歯や歯茎に優しい。
有資格者による施術
歯科医師・歯科衛生士のみが施術を担当します。歯の質や状態、ご予算のご希望に合わせ、お一人おひとりに合ったホワイトニング治療をご提案。
エアフロー(ハンディ3.0)による施術前のクリーニング
微細なパウダーと水流を吹き付け、歯ブラシが届かないすき間や、表面に蓄積したコーヒーやワインの着色汚れ(ステイン)を強力に除去。虫歯や歯周病の原因となる細菌の塊も根こそぎ落とします。
Orthodontics×Skin maintenance×Whitening
Greeting

赤坂矯正歯科 院長
黒岩 哲良(Kuroiwa Akira)
一歩踏み出すのに勇気がいるかと思いますが、乗り越えた先には最高の笑顔が待っています。
矯正治療は何歳からでもスタートできます。始めたいと思った時がベストなタイミングです。ぜひ一度、ご相談にいらしてください。
経歴
最新の治療機器を導入しております

Medit i700
口腔内3Dスキャナー

Formlabs Form4
歯科用医療3Dプリンター

バリオサージ3
スピード矯正施術

ハンディ3.0/ペリオプラス
ステイン&歯垢除去

HYDRA GENTLE
毛穴&角質洗浄

ソアリックFT
人間工学に基づいた設計


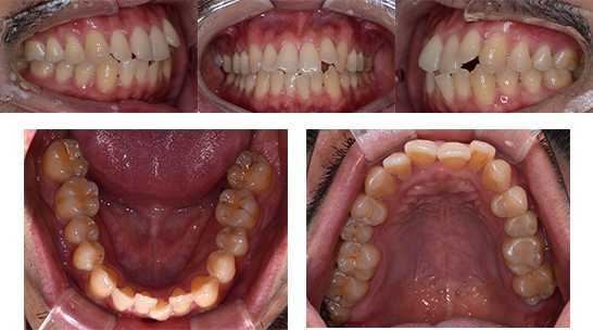
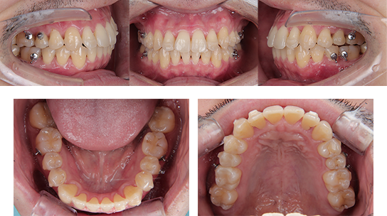
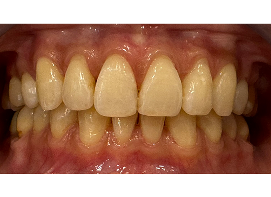
| 主訴 | 歯並びをキレイにしたい、治療期間を短くしたい |
|---|---|
| 診断名・症状 | 歯のガタガタ、出っ歯 |
| 年齢/性別 | 35歳/男性 |
| 使用した主な装置 | マウスピース型矯正装置 |
| 抜歯部位・有無 | 非抜歯 |
| 治療期間 | 9ヶ月弱 |
| 治療費概算 | 1,089,000円(治療費総額制) |
| 治療オプション | 歯科矯正用アンカースクリュー2本 44,000円 治療期間を考慮した矯正歯科(加速矯正処置) 165,000円 |
| リスク・副作用 | 歯肉退縮、歯根吸収など |


| 施術間隔・頻度 | 2週間に1度 |
|---|---|
| 治療費概算 | 16,500円 |
| メイク | 施術後から可能 |
| 入浴・洗顔 | 当日可能 |
| リスク・副作用 | 施術後赤みが数時間程度でることがございます。妊娠、または妊娠の可能性がある方、アトピー体質、ケロイド体質の方、心臓疾患、高血圧、悪性腫瘍、出血性疾患を有する方、アスピリンアレルギーがある方は施術を受けることができません。 |


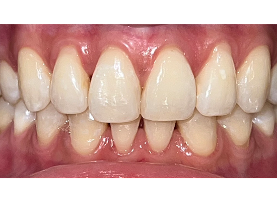
| 年齢/性別 | 39歳/女性 |
|---|---|
| 施術回数 | オフィスホワイトニング 3回 |
| 治療費概算 | 99,000円(税込) |
| 治療内容 | ホワイトニング初めての方で3回施術。 白さのトーンアップに加えて、歯の色味自体を改善。 |
| リスク・副作用 | 個人差がありますが、熱く感じることがあります。歯の状態によってはしみることがあります |
