Tel.03-6230-9959
医院案内
診療案内Medical
初めての方へ
平日 : 11:00-19:30
土・日 : 10:00-18:00
全曜日 診療※学会参加のため臨時休診する場合がございます。
歯科
人気の記事
奥歯を抜くので、親知らずを持ってこれますか?
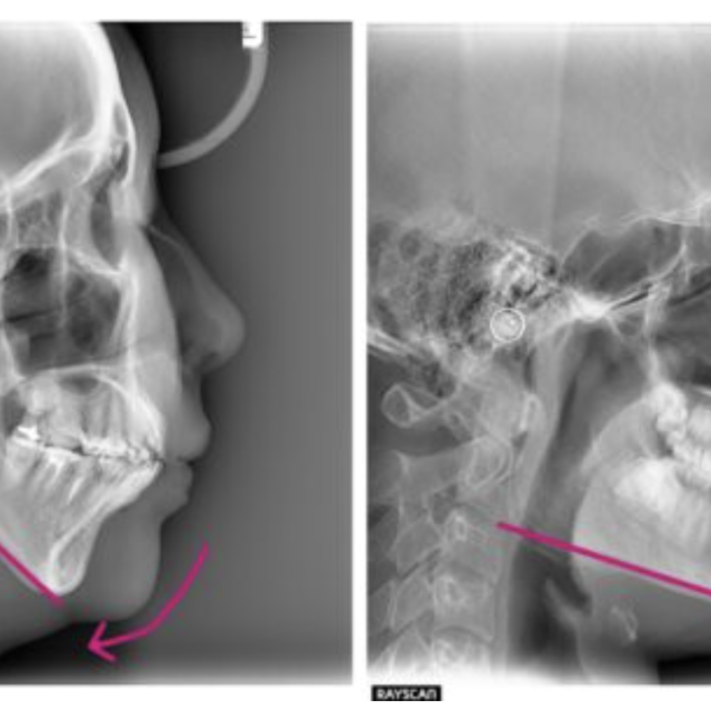
顔が長い・短いの違いは骨格にあり?矯正に影響する「ハイアングル・ローアングル」を解説
症例case05 Marfan症候群を伴う叢生症例 (14歳/女性 /6ヶ月)
最近の投稿
【開院2周年を迎えて】選ばれ続ける矯正歯科へ。治療の質、スピードへのこだわり。
受け口・しゃくれは遺伝する?子どもの反対咬合と矯正治療の考え方
矯正治療で使う麻酔
カテゴリー
タグ